Mukul Ranjan

I am a Master's student in Machine Learning at MBZUAI, where I work with Prof. Zhiqiang Shen. My research focuses on efficient machine learning systems, particularly developing alternate architectures and hardware-aware algorithms through sparsity, quantization, and hardware-software co-design. Most recently I also worked with Prof. Deming Chen at UIUC from Jul. 2025 to Oct. 2025. I also work on creating evaluation methodologies and benchmarks for these systems.

Previously, I was a Data Scientist at Meesho, where I built personalized ranking systems, and an AI Research Scientist at Qure.ai, developing automated stroke severity assessment systems deployed in hospitals worldwide.

I hold a B.Tech. in Electronics and Communication Engineering from IIT Guwahati.

Email  /  CV  /  Scholar  /  Github  /  LinkedIn  /  X  /  Medium  /  Blogs  /  Poetry

profile photo

News

Feb 2026 NewTime-Blindness accepted at CVPR 2026!
Jan 2026 NewElastic-Cache accepted at ICLR 2026!
Jan 2026 NewMobile-MMLU accepted at DMLR 2026!
Oct 2025 Released Elastic-Cache, a training-free strategy that accelerates Diffusion LLMs up to 45.1x.
Jul 2025 Joined UIUC as a Research Scholar, working with Prof. Deming Chen on hybrid LLM inference.
May 2025 Released Time-Blindness! All VLMs score 0% on temporal patterns humans recognize at 98%.
Mar 2025 Released Mobile-MMLU, a 16K+ question benchmark for evaluating LLMs on mobile scenarios.
Feb 2025 KITAB-Bench accepted at ACL 2025!
Oct 2024 Won 1st place ($11,000) at the GITEX DGE Elite Hackathon for Cybersecurity.
Sep 2024 Won 1st place ($3,000) at the Insilico Medicine AI-driven Drug Discovery Hackathon.
Aug 2024 Started MS in Machine Learning at MBZUAI.
Feb 2022 Joined Meesho as a Data Scientist, building personalized ranking systems.
Dec 2021 Joined Qure.ai as an AI Research Scientist.
Jun 2021 Graduated from IIT Guwahati with B.Tech in ECE. Received Samsung Fellowship Award.
Mar 2021 Won Gold Medal at Inter-IIT Tech Meet for multilingual sentiment analysis.

Publications

Representative papers are highlighted. * indicates equal contribution (random order).

Elastic-Cache Attention Is All You Need for KV Cache in Diffusion LLMs
Mukul Ranjan*, Quan Nguyen-Tri*, and Zhiqiang Shen
ICLR, 2026
arXiv / code / project page

Elastic-Cache is a training-free framework that accelerates Diffusion LLMs up to 45.1x with higher accuracy by adaptively refreshing the KV cache.

SpookyBench Time Blindness: Why Video-Language Models Can't See What Humans Can?
Mukul Ranjan*, Ujjwal Upadhyay*, Zhiqiang Shen, and Mohamed Elhoseiny
CVPR, 2026
arXiv / code / project page

SpookyBench reveals that patterns in temporal noise that humans recognize with 98% accuracy, state-of-the-art VLMs fails completely achieving 0%.

Mobile-MMLU Mobile-MMLU: A Mobile Intelligence Language Understanding Benchmark
Mukul Ranjan*, Sondos Mahmoud Bsharat*, Aidar Myrzakhan*, et al.
DMLR, 2026
arXiv / dataset / project page

Mobile-MMLU is a benchmark with with 16,000+ questions across 80 mobile-related fields to evaluate LLM performance under real-world constraints.

GBLM-Pruner Beyond Size: How Gradients Shape Pruning Decisions in Large Language Models
Rocktim Jyoti Das*, Mukul Ranjan*, Mingjie Sun*, Liqun Ma, and Zhiqiang Shen
Under Review
arXiv (coming soon) / code

GBLM-Pruner is a gradient-based pruning method that is extremeley faster than weight-update methods like SparseGPT.

GLoRA One-for-All: Generalized LoRA for Parameter-Efficient Fine-tuning
Arnav Chavan*, Mukul Ranjan*, Zhuang Liu, Deepak Gupta, Eric Xing, and Zhiqiang Shen
Pending Submission for IEEE TPAMI, 2025
arXiv (coming soon) / code

GLoRA is a unified PEFT framework achieving state-of-the-art accuracy with zero inference overhead through structural re-parameterization.

KITAB-Bench KITAB-Bench: A Comprehensive Multi-Domain Arabic OCR Benchmark
Mukul Ranjan*, Ahmed Heakl*, Muhammad Abdullah Sohail*, et al.
ACL 2025 (Findings), 2025
arXiv / dataset

KITAB-Bench has 8,809 samples across 9 domains. It reveals that vision-language models outperform traditional OCR by 60%.

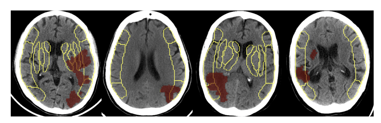
Deep-ASPECTS Deep-ASPECTS: A Segmentation-Assisted Model for Stroke Severity Measurement
Ujjwal Upadhyay, Mukul Ranjan, et al.
ECCV, 2022
arXiv

Deep-ASPECTS is an automated ASPECT scoring system achieving radiologist-level performance, now deployed in hospitals worldwide.

Sanskrit Translation An Evaluation of Google Translate for Sanskrit to English Translation
Akshat Shukla, Chaarvi Bansal, Sushrut Badhe, Mukul Ranjan, and Rohitash Chandra
Natural Language Processing Journal, 2023
paper
Hindu Philosophy AI Artificial Intelligence for Topic Modelling in Hindu Philosophy
Mukul Ranjan* and Rohitash Chandra*
PLOS ONE, 2022
paper

Last updated: February 2026
© 2026 Mukul Ranjan. Design inspired by Jon Barron.